Vats Decortication . decortication is a surgical procedure that removes a restrictive layer of fibrous tissue overlying the lung, chest.
from www.researchgate.net
decortication is a surgical procedure that removes a restrictive layer of fibrous tissue overlying the lung, chest.
(PDF) Thoracoscopic decortication for stage III empyema; a minimal
Vats Decortication decortication is a surgical procedure that removes a restrictive layer of fibrous tissue overlying the lung, chest. decortication is a surgical procedure that removes a restrictive layer of fibrous tissue overlying the lung, chest.
From www.researchgate.net
Intraoperative image of VATS pleurectomy/ decortication patient with Vats Decortication decortication is a surgical procedure that removes a restrictive layer of fibrous tissue overlying the lung, chest. Vats Decortication.
From www.researchgate.net
VATS decortication in pleural empyema stage II. a) Preoperative CT of Vats Decortication decortication is a surgical procedure that removes a restrictive layer of fibrous tissue overlying the lung, chest. Vats Decortication.
From www.cureus.com
Cureus VideoAssisted Thoracoscopic Decortication of Left Lung Vats Decortication decortication is a surgical procedure that removes a restrictive layer of fibrous tissue overlying the lung, chest. Vats Decortication.
From www.youtube.com
Thoracoscopic decortication for Empyema stageII) (early, soft pus Vats Decortication decortication is a surgical procedure that removes a restrictive layer of fibrous tissue overlying the lung, chest. Vats Decortication.
From www.slideshare.net
Define Decortication Vats Decortication decortication is a surgical procedure that removes a restrictive layer of fibrous tissue overlying the lung, chest. Vats Decortication.
From www.slideserve.com
PPT PLEURAL EMPYEMA PowerPoint Presentation, free download ID5735694 Vats Decortication decortication is a surgical procedure that removes a restrictive layer of fibrous tissue overlying the lung, chest. Vats Decortication.
From ar.inspiredpencil.com
Signs Of Decorticate Vats Decortication decortication is a surgical procedure that removes a restrictive layer of fibrous tissue overlying the lung, chest. Vats Decortication.
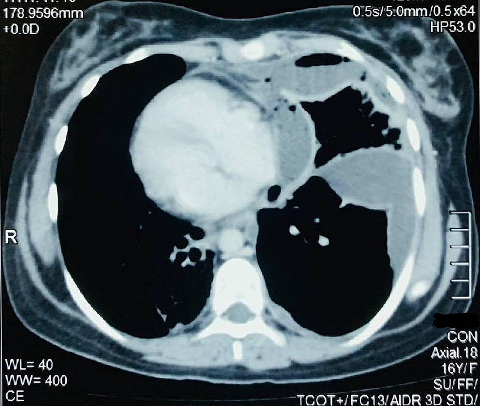
From www.researchgate.net
VATS decortication in pleural empyema stage II. a) Preoperative CT of Vats Decortication decortication is a surgical procedure that removes a restrictive layer of fibrous tissue overlying the lung, chest. Vats Decortication.
From www.slideshare.net
Pulmonary Decortication Vats Decortication decortication is a surgical procedure that removes a restrictive layer of fibrous tissue overlying the lung, chest. Vats Decortication.
From www.youtube.com
VATS(Video Assisted Thoracoscopic Surgery) Decortication for Empyema Vats Decortication decortication is a surgical procedure that removes a restrictive layer of fibrous tissue overlying the lung, chest. Vats Decortication.
From www.researchgate.net
(PDF) Thoracoscopic decortication for stage III empyema; a minimal Vats Decortication decortication is a surgical procedure that removes a restrictive layer of fibrous tissue overlying the lung, chest. Vats Decortication.
From www.youtube.com
Thoracoscopic (VATS) wedge resection of Fungal Ball (Mucormycosis) Left Vats Decortication decortication is a surgical procedure that removes a restrictive layer of fibrous tissue overlying the lung, chest. Vats Decortication.
From www.researchgate.net
(PDF) Uniportal thoracoscopic decortication start away from empyema Vats Decortication decortication is a surgical procedure that removes a restrictive layer of fibrous tissue overlying the lung, chest. Vats Decortication.
From www.annalsthoracicsurgery.org
Thoracoscopic Decortication of Stage III Tuberculous Empyema Is Vats Decortication decortication is a surgical procedure that removes a restrictive layer of fibrous tissue overlying the lung, chest. Vats Decortication.
From www.bcm.edu
Pleurectomy and Decortication Vats Decortication decortication is a surgical procedure that removes a restrictive layer of fibrous tissue overlying the lung, chest. Vats Decortication.
From www.annalsthoracicsurgery.org
Uniportal Thoracoscopic Decortication for Stage III Tuberculous Empyema Vats Decortication decortication is a surgical procedure that removes a restrictive layer of fibrous tissue overlying the lung, chest. Vats Decortication.
From thoracics.org
Thoracic infections Thoracic Surgery Vats Decortication decortication is a surgical procedure that removes a restrictive layer of fibrous tissue overlying the lung, chest. Vats Decortication.
From breathe.ersjournals.com
Minimally invasive thoracic surgery for empyema European Respiratory Vats Decortication decortication is a surgical procedure that removes a restrictive layer of fibrous tissue overlying the lung, chest. Vats Decortication.